Está tornando o tratamento mais acessível para pessoas de diferentes condições financeiras.

A Técnica de Reabilitação Oral em fibra de vidro pode ser definida como uma prótese feita para substituir dentes ausentes com preparos minimamente invasivos dos dentes pilares, basicamente a nível de esmalte, a fixação é feita com materiais adesivos, resinosos e reforçados com fibra de vidro.
Esta modalidade de reabilitação Oral constituí uma técnica inovadora uma vez que permiterestaurar a dentição de forma rápida, eficiente e segura. O procedimento é realizado na maioria das vezes em uma única consulta e por vezes não requer anestesia ou cirurgia, o que torna a reabilitação acessível para a maioria das pessoas.
A técnica se utiliza de uma prótese fixa com reforço de fibras de vidro que é fixada aos dentes naturais do paciente. A prótese é personalizada para se adequar à boca do paciente respeitando as funcionalidades do sistema estomatognático, feita de materiais resistentes e duráveis, o que garante um sorriso bonito e saudável por muitos anos.
A reabilitação oral sem cirurgia reforçado em fibra de vidro é uma excelente opção para pessoas que perderam dentes devido a cáries, acidentes ou outros problemas. O procedimento é rápido, eficiente e seguro, e oferece resultados naturais e duradouros.

E PORQUE ESTA TÉCNICA FAZ TANTO SENTINDO?
Alguns procedimentos odontológicos convencionais como a reabilitação com Implantes, por vezes necessita de processos bastante complexos. Em virtude destas condição, a depender de procedimentos como enxertos ósseo,levantamentos, inumeras adequações etc... Devidos estas e outras particularidades, tem dificultado a inclusão de grande parte da população brasileira devido esse o alto custo no processo operacional,materiais bem como as limitações biológica do própio paciente tornando ainda mais complexo.

Neste contexto buscou-se aprimorar às técnicas já utilizadas, novas pesquisas sendo desenvolvida, surgiu então os novos recursos materiais de excelência como os adesivos de última geração, as fibras de vidro conferindo o fator resistência, material este fundamental para a técnica por isso o nome REFORÇADA EM FIBRA DE VIDRO, contamos ainda com os materiais resinosos de alta qualidade e resistência permitindo assim uma maior praticidade nos tratamentos, é como se fosse um acelerador de tratamento.





Se você está interessado em saber mais sobre a reabilitação oral sem cirurgia, converse com nossa equipe para juntos avaliar seu caso e determinar se o procedimento é adequado para você.
Aqui estão alguns dos benefícios da reabilitação oral reforçado em fibra de vidro:
A técnica de reabilitação oral reforçada em fibra de vidro quando bem indicada é uma técnica de rápida resolução e de baixo custo. Através desta técnica tornamos realidade o sonho das pessoas que desejam ter os dentes de volta de forma fixa, como um implante.
Como são realizadas a reabilitações em fibra de vidro ?
No preparo preconizamos um acesso mínimo de apenas 2 mm para adaptação é como se fosse um tipo de solda com material odontológico resistente proporcionando um só eixo de inserção, formando um bloco resistente oferecendo uma maior rigidez na estrutura.
Em geral, a técnica de reabilitação reforçada em fibra de vidro se consegue reabilitar inúmeras as situações clínicas desde complexas como os casos de reposição de molares, caninos bem como reposição de mais de dois dentes vizinhos.
Quer saber se é ou não o procedimento mais indicado para seu caso? Agende uma consulta ( adicionar botão do zap aqui )
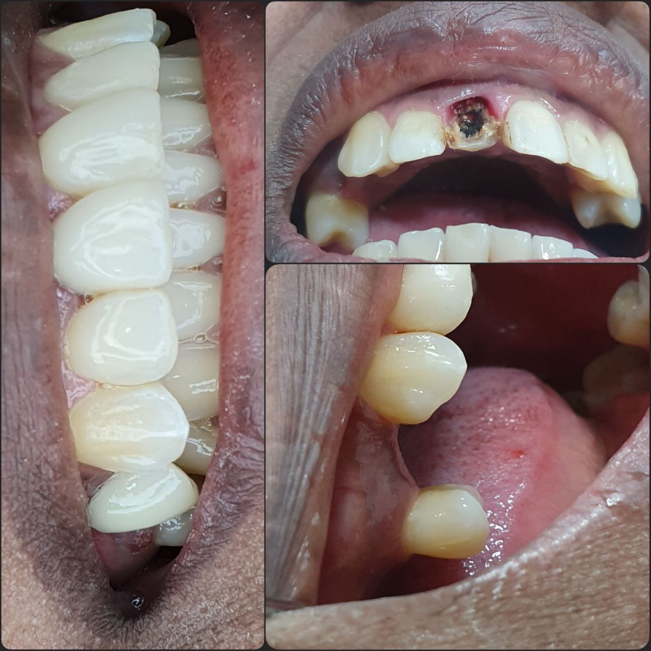
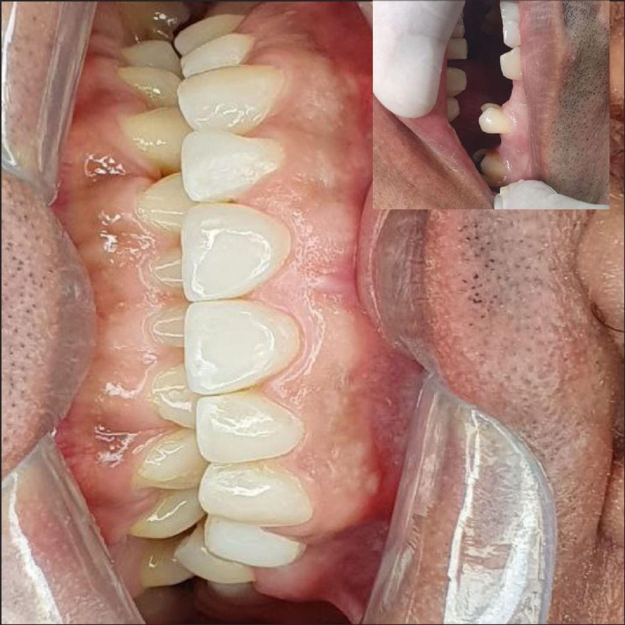
Confira algumas das reabilitações realizada com o auxílio desta técnica :

Sorriso perfeito em uma única consulta: conheça a técnica revolucionária de reabilitação oral sem cirurgias!

Reabilitação oral sem medo: a fibra de vidro como aliada dos pacientes


Reabilitação oral acessível: a fibra de vidro como solução econômica

Reabilitação oral em tempo recorde: a fibra de vidro como solução rápida e eficiente


Agora você pode ter um sorriso renovado de forma rápida, simples e com um custo bastante acessível.

Com um custo bastante acessível, você poderá ter acesso a um tratamento de qualidade, sem comprometer seu orçamento.

Reabilitação oral sem medo: a fibra de vidro como aliada dos pacientes


Não deixe que o medo ou a falta de recursos financeiros atrapalhem seu desejo de ter um sorriso perfeito. Com a Reabilitação Oral Reforçada em Fibras de Vidro, você pode ter a confiança de um sorriso renovado, sem cirurgias invasivas e com um custo acessível. Agende já sua consulta e descubra uma nova forma de reabilitar sua saúde bucal!

Nossa abordagem casual e acolhedora garante que você se sinta à vontade durante todo o processo. Nosso objetivo é proporcionar uma experiência positiva e tranquila, para que você possa desfrutar de um sorriso saudável e bonito.

Acreditamos que todos merecem um sorriso completo e saudável, todos estes casos foram realizados sem a necessidade de procedimentos invasivos ou desconfortáveis. Essa técnica permite restaurar a dentição de forma rápida, eficiente e segura.

Utilizamos técnicas adesivas para fixar a prótese reforçada em fibra de vidro, que é cuidadosamente fixada aos seus dentes naturais. Essa prótese tem uma durabilidade incrível e oferece uma aparência natural, além de trazer mais conforto e segurança ao mastigar.

Dentes com mobilidade dentária; Esse método é totalmente livre de dor! Isso mesmo, você não precisa se preocupar com anestesias ou cirurgias complexas.

imagine poder ter um sorriso perfeito em apenas uma visita ao dentista! Com a reabilitação oral em fibra de vidro, você pode ter isso e muito mais.
Imagem
PONTE FIXA CONVENCIONAL
( NÃO RECOMENDAMOS )
A prótese fixa CONVENCIONAL conhecida também de PONTE FIXA, teve seu uso muito comum há alguns anos, mas atualmente é considerada ultrapassada pois dispendia em seu processo a necessidade de:
---- Terceiros para à confecção da mesma (serviços de terceiros, no caso os protéticos, desta forma necessitando um tempo maior de procedimento, número maior de consultas bem como UM CUSTO MUITO AUTO .
---- A adaptações só era possível através de desgastes SEVERO NOS dentes (esse processo era necessário para faze o encaixe da estrutura.
------ Por vezes era indicado O tratamento de canal tornando mais complexo e oneroso o processo.
Nessa época, era menos frequente a colocação de implantes dentários, pois o custo desta prótese é muito maior comparado ao implante dentário.
VEJA A SEGUIR ALGUNS FORMATOS DE PONTE FIXA convencional

Este era um formato de adaptação e modelos de pontes fixas no formato convencional, chamo a atenção para os preparos dentais.
A Prótese fixa realizada de forma convencional é considerado muito invasiva e de alto custo para a reposição de um dente ausente, consideramos obsoleto A SUA UTILZAÇÃO. Pois existe soluções prática e viáveis e economicamente A Reabilitação reforçada em fibra de vidro assunto deste artigo.
Na Clínica Zanetti, somos apaixonados por promover a saúde, recuperar a autoestima e a segurança dos nossos pacientes através do sorriso. Há mais de 6 anos, já transformamos vidas e impactamos positivamente a comunidade, distribuindo sorrisos e felicidade pelo mundo.
Entre em contato conosco agora mesmo e agende uma consulta para descobrir como a reabilitação oral sem cirurgia Reforçada em fibra de vidro pode mudar a sua vida. Venha fazer parte dessa revolução odontológica!
📞 Telefone: (63) 99960-1080
Sobre nós
Oportunizamos tratamento odontológico completo, desde procedimentos estéticos ao clínico geral Nossa missão é inspirar, cuidar e emocionar para que juntos possamos distribuir sorrisos e felicidade pelo mundo.
Contatos
Quadra 1201 Sul, Av NS 01, Lote 17 - Sala 2, Comercial Malbec - Palmas - TO
(63) 99960-1080
clinicazanetti1@gmail.com
Último trabalhos
![]() |
![]() |
![]() |
![]() |
![]() |
![]() |